Вы задумались об исправлении прикуса или же уже твердо решили проходить ортодонтическое лечение. Если вы не обращались ни разу к ортодонту, то вероятно вам будет интересно узнать какой путь вам совместно с ортодонтом придется пройти для получения превосходной улыбки?
Первичный приём
Первый прием как первое свидание. Вы знакомитесь с врачом, рассказываете о том, что вас беспокоит. Неплохо если вы идете к врачу, которого рекомендовал кто-то из знакомых или друзей, уже прошедших лечение. Врач проведет осмотр. Уже здесь ортодонт сможет поставить предварительный диагноз, направить на дополнительные исследования. Задача врача донести до вас смысл предстоящих мероприятий и процедур, оценить желаемый и предполагаемый результат лечения, ну и конечно же показать себя и свое мастерство с лучшей стороны. Не бойтесь задавать вопросы. Для вас и врача очень важно, что бы вы понимали процедуры предстоящего лечения. Не удивляйтесь если врач вас направит к другим специалистам. Для ортодонтического лечения требуются здоровые и пролеченые зубы. Поэтому перед ортодонтическим лечением необходимо посетить стоматолога-терапевта
и гигиениста. А если же после ортодонтического лечения потребуется протезирование, то стоит обратиться за консультацией к ортопеду и имплантологу.Диагностика
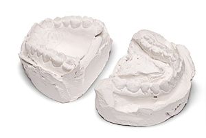
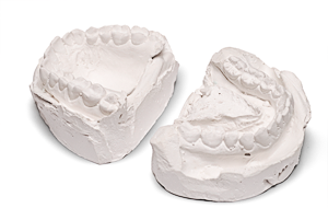
Как и в любой другой области медицины, в ортодонтии, для успешного лечения, требуется точная диагностика. Только в результате нее можно поставить правильный диагноз, спрогнозировать конечный результат и выбрать методику лечения. Уже на первом посещении ортодонт предложит вам снять слепки челюстей. По этим слепкам будут отлиты гипсовые диагностические модели челюстей. Они являются точной объемной копией верхних и нижних зубов пациента, с них гораздо легче снять геометрические измерения и определить смещения зубов относительно ориентиров.
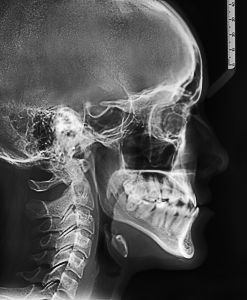
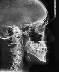
Кроме того, необходимо будет сделать рентгеновские снимки: ортопантомограмму (ОПТГ), телерентгенограммы(ТРГ). ОПТГ позволит судить о состоянии всех зубов, окружающих их костных тканях и наличии зачатков еще не прорезавшихся зубов. ТРГ — это рентгеновские снимки черепа выполненные по специальной методике, позволяющей получить снимок с размерами близкими к реальным. Так же на ТРГ различимы мягкие ткани головы (губы, нос, щеки). По ТРГ анализируется геометрия лица, выявляется характер и причина патологии, определяются допустимость и границы перемещений зубов, при этом оценивается изменение профиля лица пациента. После получения всех снимков врачу понадобится некоторое время для снятия геометрических замеров, выполнения математических расчетов и анализа результатов. Только после этого можно сделать заключение и подготовить окончательный план лечения. Возможны и другие анализы: например анализ рентгеновских снимков височно-нижнечелюстных суставов (ВНЧС). Так же перед началом лечения многие ортодонты проводят фотосъемку лица и ротовой полости. Фотография — отличный способ наглядно проследить динамику лечения и оценить достигнутый результат.
По завершении диагностики ортодонт предложит вам несколько вариантов лечения и выбор аппаратуры. Даже для простых случаев возможны разные варианты лечения и аппаратуры. Если вы будете согласны на один из них, то врач закажет требуемую аппаратуру и в следующий прием начнется лечение.
Лечение
И вот, наконец, подготовительные этапы пройдены, аппаратура закуплена и вы приходите на установку. Перед приходом обязательно почистите зубы, если это не возможно, то возьмите с собой вашу щетку и вы это сможет сделать в клинике. Процесс установки брекетов занимает в среднем 1,5 часа. После установки врач вам расскажет о том, как обращаться с брекетами, правилами гигиены и обычно дарит первый комплект средств гигиены (щетка, ершик, и воск).
С этого момента результат лечения зависит не только от врача и аппаратуры, но и от того как вы будете соблюдать рекомендации врача. В этот период от вас потребуются некоторые ограничения в питании и особая забота о сотоянии гигиены полости рта.
Конечно же процесс лечения нужно контролировать и не оставлять на самотек. Дальнейшие визиты к ортодонту будут проходить согласно составленному плану. Обычно это раз в месяц. Ни в коем случае не пропускайте назначенные плановые визиты. Во время планового визита врач производит осмотр процесса лечения и корректировку сил брекет системы. Возможно потребуется дополнительная диагностика: снятие слепков, рентгенограммы и конечно же фотографирование процесса лечения.
А что делать, если произошла поломка? Брекет-системы имеют достаточную прочность, но и они могут поломаться. Самые типичные поломки это: отклейка брекета, изменение положения ортодонтического кольца, слетела лигатура или выскочила дуга. Незамедлительно обратитесь к вашему ортодонту и договоритесь о внеплановом визите. Сохраните поломанную деталь. Если деталь потеряете, то врач ее будет заказывать , а это потребует некоторого времени и вам ее нужно будет оплатить. В случае если поломанная деталь (выскочившая дуга, например) будет колоть и натирать, то до врачебного приёма необходимо прикрыть проблемное место ортодонтическим воском. Если же вы не можете прийти на прием к вашему ортодонту (например, вы на отпуске или в командировке) обратитесь в любую другую клинику за помощью. Ни в коем случае не пытайтесь починить поломку самостоятельно, делать это должен профессионал.
Ретенционный период
Ну и наконец все зубы построились в ряд. Результат достигнут и подошло время снять аппаратуру. Однако лечение не закончено. Теперь начинается особый ретенционный период — закрепление достигнутого результата. Ведь процесс перемещения зубов приводит тому, что зубы после лечения находятся в нестабильном состоянии и без поддержки со стороны они могут сместиться и ваша улыбка испортится. Для поддержания достигнутого результата служат специальные аппараты — ретейнеры. Чаще всего применяются несъемные, проволочные рейнеры — тонкая проволока, которая крепится с помощью материала к передним зубам с внутренней, язычной стороны. Ее не видно и она практически не вызывает дискомфорта. Так же могут использоваться съемные ретейнеры: ортодонтические пластинки или каппы. В этот период нужно посещать ортодонта 2 раза в год. Ретенционный период обычно равен периоду лечения. Но, к сожалению, науке известны случаи, когда требуется пожизненная ретенция.







